
15세 소년이 심한 두통을 호소해 한 달 동안 병원에 입원했지만 여전히 회복되지 않았습니다. 의사는 이 질병에 대해 경고합니다. 젊은이들이 많이 있습니다.
베트남 언론의 보도 15세 남학생이 심한 두통을 주소로 응급실에 실려왔다. 얼마 지나지 않아 그는 혼수상태에 빠졌습니다. 1차병원에서 진단을 해보니 환자는 뇌출혈이 있습니다. 따라서 호흡관을 삽입했습니다. 환풍기를 켜다 추가 치료를 위해 Buck My Hospital로 보내졌습니다.
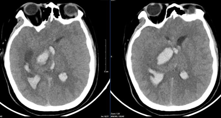
뇌졸중 센터에서 환자의 오른쪽 동공이 확대된 것으로 확인되었습니다. 스캔 결과 뇌동맥류 파열로 인해 뇌에 출혈이 있는 것으로 나타났습니다. 뇌실이 비정상적으로 커지는 합병증이 발생합니다. 체온의 이상 섭씨 39~40도에 달하는 고열이 계속됐다. 뇌혈관 이상은 극도로 위험한 상태였다.
뇌졸중센터에서 집중치료를 받았음에도 불구하고 하지만 환자의 상태는 빠르게 악화됐다. 그리고 심각한 예후를 가지고 있습니다 이틀 간의 응급 치료 끝에 의사들은 그에게 더 이상 생명 유지 장치를 할 수 없다는 통보를 했습니다. 그래서 환자는 집으로 보내졌습니다. 그리고 나중에 사망

젊은 층의 뇌졸중 사례에 대한 추가 정보
뇌졸중 센터의 Lê Tuấn Anh 박사 (Bac My Hospital)은 두 번째 사례는 19세 소녀로 심한 혼수상태에 빠져 응급실로 이송됐다고 밝혔습니다. 인공호흡기를 사용하다 그리고 사지 모두 마비.
환자는 혈전과 비정상 혈관을 제거하는 수술을 받았습니다. 집중치료에도 불구하고 그러나 치료 1개월 후에도 여전히 심각한 합병증이 있었고 환자는 여전히 의식을 잃었으며 왼쪽이 완전히 마비되었습니다.
Lê Tuấn Anh 박사는 뇌혈관 이상은 뇌혈관 시스템의 위험한 발달 문제라고 말했습니다. 젊은 사람들에게 자주 발생하며 이는 대개 동맥류가 부풀어 오르고 파열될 때 발견됩니다. 우연히 발견되는 경우가 많음
주의하고 예방해야 할 증상
파열되지 않은 뇌혈관 두통, 현기증, 사지의 무감각 및 약화와 같은 비특이적 증상이 나타날 수 있으며, 뇌동맥이 파열된 경우 발작이 발생할 수 있습니다. 증상의 심각도는 두통, 메스꺼움, 구토, 편마비, 혼란, 깊은 혼수상태까지 다양합니다. 아니면 빨리 죽었거나 사망률은 약 10~15%이며, 생존자의 50%는 여전히 합병증을 앓고 있습니다.
의사는 두통, 현기증, 무감각, 편마비(발작 포함) 증상 중 하나가 있는 경우 검사를 받도록 조언합니다. 증상이 의식 상실을 유발할 만큼 심각한 경우. 즉시 병원으로 달려가야 합니다.
'새로운 이야기 > 이야기 거리' 카테고리의 다른 글
| 가능하면 피하세요! “당신을 아프게” 하고 암세포에 조용히 영양을 공급하는 4가지 아침 식사 많은 사람들이 그것을 깨닫지 못한 채 먹는다. (1) | 2025.01.31 |
|---|---|
| 여신 Tubtim Saphan Lueang의 신사 어떤 축복을 바라시나요? (0) | 2025.01.31 |
| 피할 수 있어요! 암세포에 조용히 영양을 공급하고 "병에 초대하는" 아침 식사 4가지 많은 사람들이 자신도 모르게 먹는다. (6) | 2025.01.27 |
| 우리가 이혼한 지 1년이 되었는데, 전 남편이 갑자기 나에게 소포를 보냈습니다. '싱글맘'이 문을 열고 눈물 (3) | 2025.01.27 |
| 고양이의 수명을 연장하는 7가지 방법 (5) | 2025.01.27 |